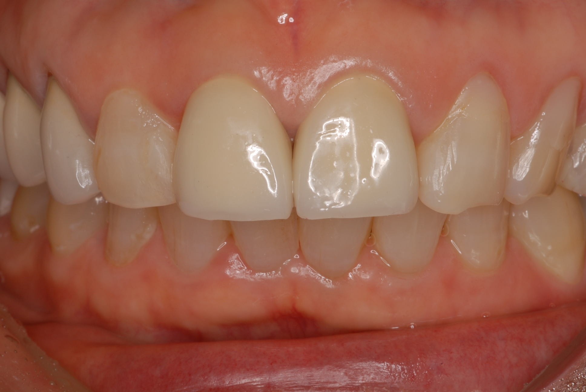
前歯の変色が気になるという主訴で来院。
不適合CRがみられ、変色している。
よく見ると亀裂も入っている。
*注……写真のアップは患者様に了解を得ております。
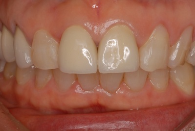
ハイブリッドセラミック(グラディア)で対応。
無事結婚式も終わり、口元も気にならず終始笑顔でいられたという
ことで、ホッとしています(^_^)
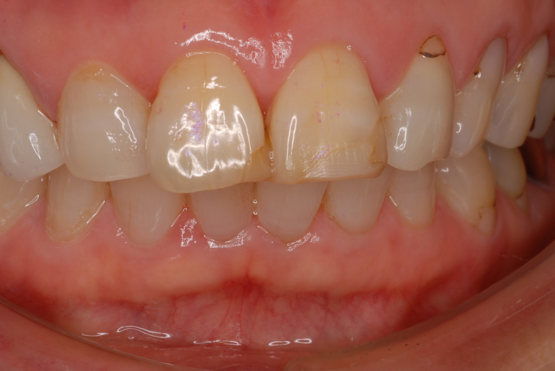
前歯の変色が気になるという主訴で来院。
不適合CRがみられ、変色している。
よく見ると亀裂も入っている。
*注……写真のアップは患者様に了解を得ております。
ハイブリッドセラミック(グラディア)で対応。
無事結婚式も終わり、口元も気にならず終始笑顔でいられたという
ことで、ホッとしています(^_^)