ラミネートべニア

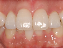
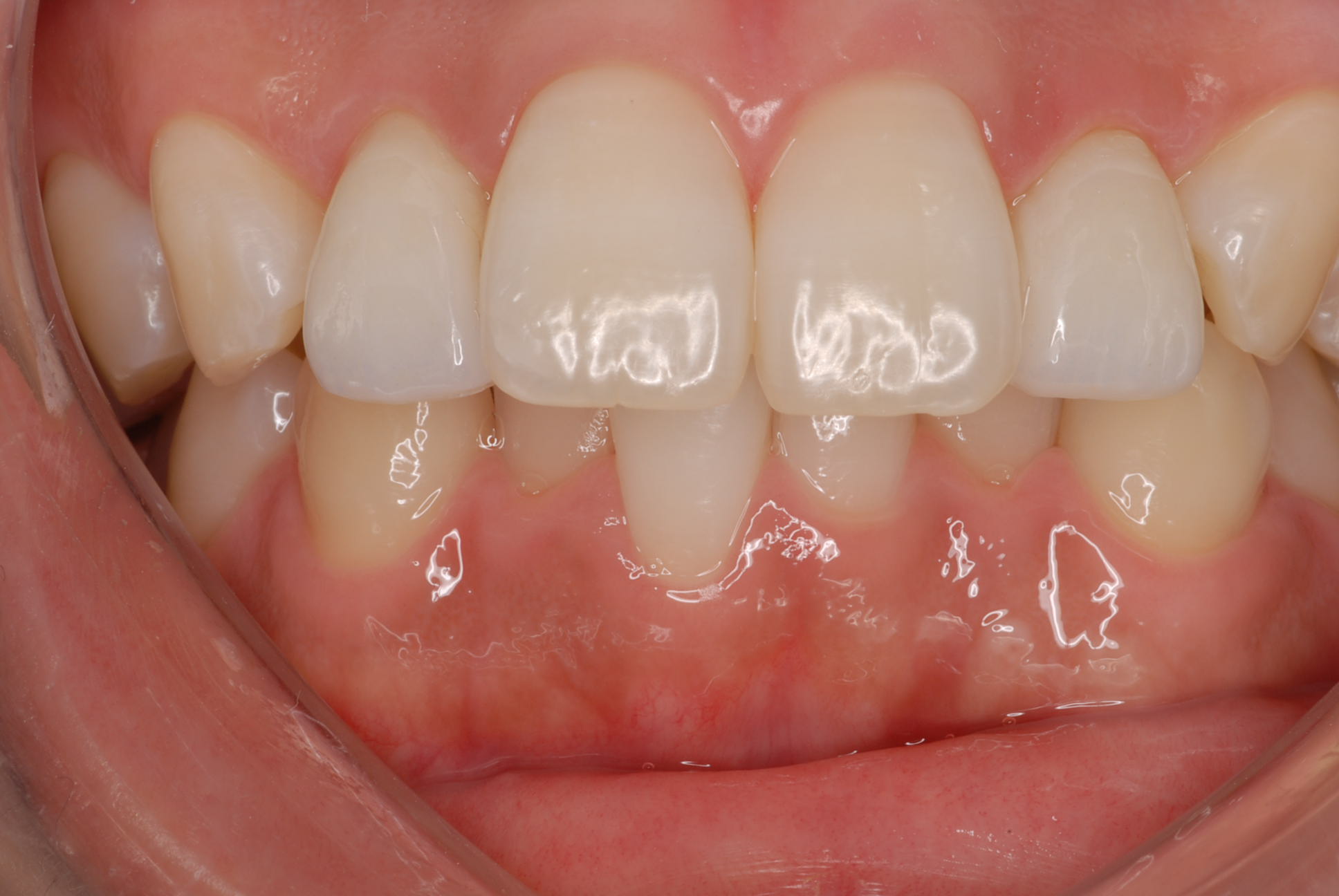
上の左右2番目の歯が内側にたおれているのをきれいにしたいという患者さんでした。

最初の状態
o

注……画像のアップは患者様の了解を得ております。

矯正をするか、かぶせで治すか、ということでいろいろ話合い、ラミネートべニアで治療しようということに決まりました。

まずスタモ

2 14-55-17

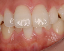
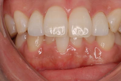
下から見た図

3

セットアップを作製。この時点でも患者さんと話し合い、TEK(仮歯)を作り、
患者さんが納得いく形を決めました。

セットアップ

DSC_0001

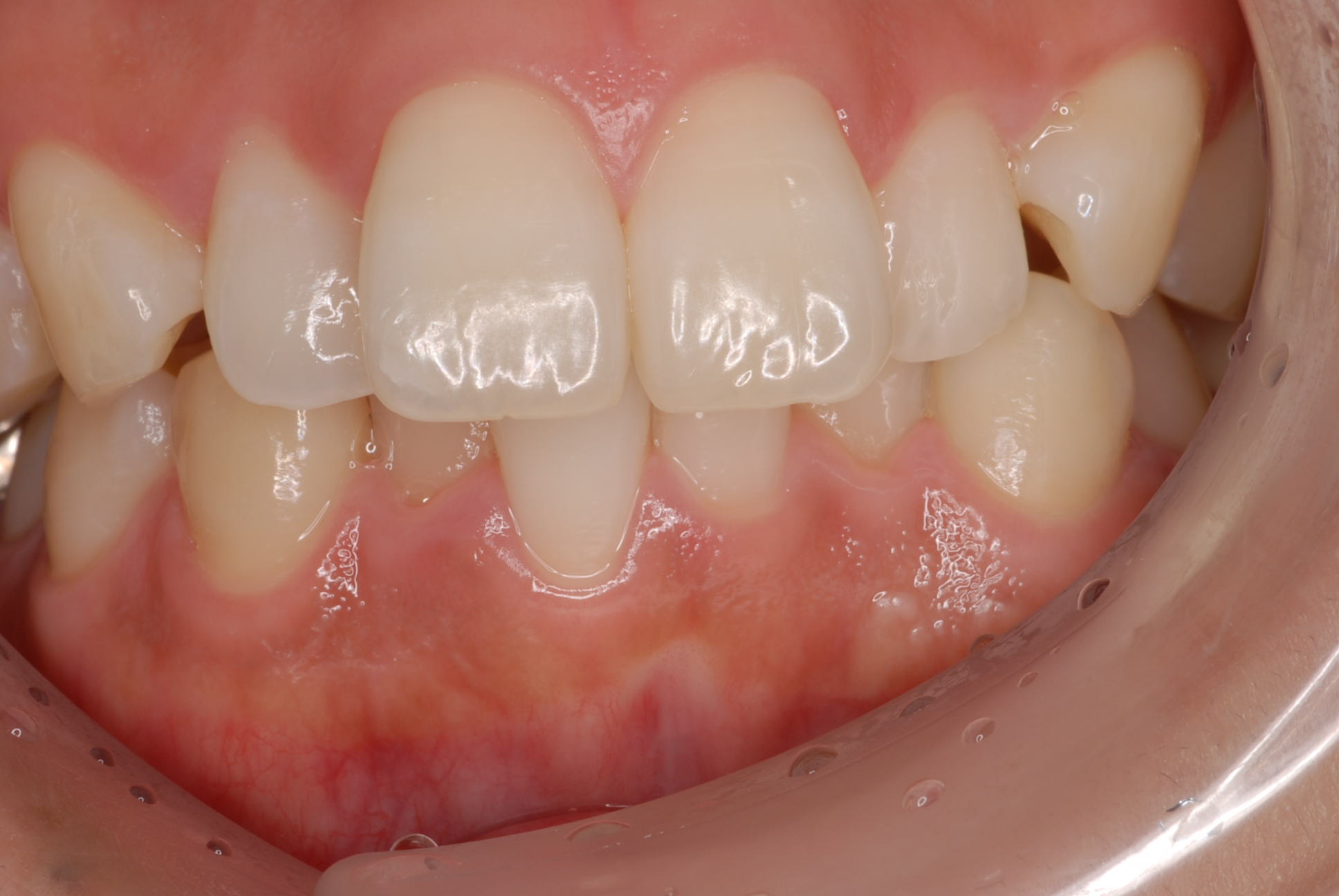
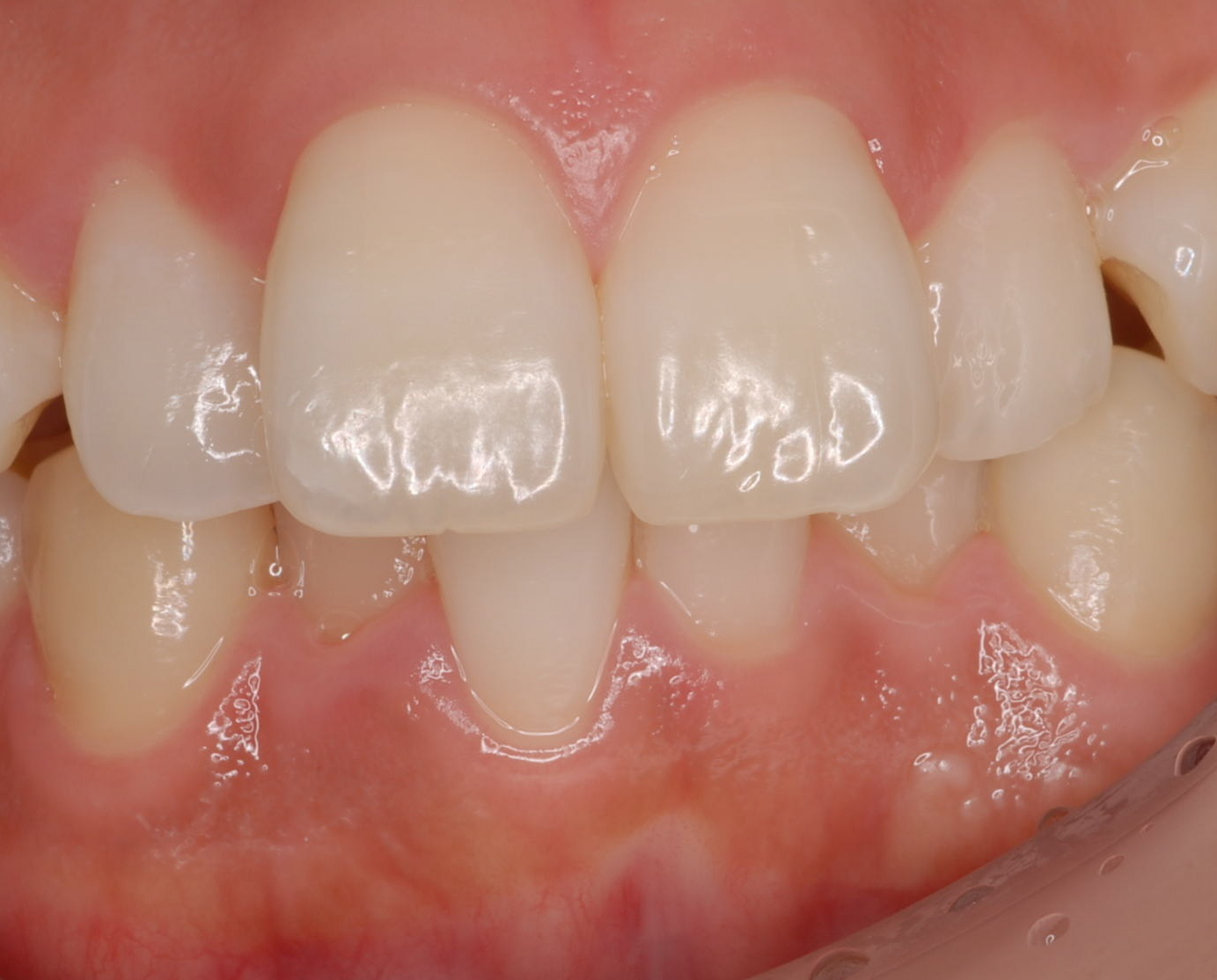
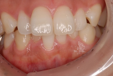
SET後

DSC_0002 15-33-27

ラミネートベニアはもちろんセラミック。
e-MAXです。かなり強度があります。

DSC_0007

われる心配がかなり減り,安心(^_^)

 接着はリンクマスターで接着。

1番のポイントは患者さんとよく話合い、ファイナルの形をどうしたいか、だと思います。


184

コメントを残す

メールアドレスが公開されることはありません。 が付いている欄は必須項目です