ホワイトニング

光デンタルクリニックでは、ホワイトニングにも力を入れています。

ホワイトニングは、ただ歯を白くするだけではありません。

白くするにも、歯そのものが健康でなくてはいけません。

歯石がついていたり、虫歯があったり、プラーク(汚れ)がたくさんついていたりすると、しみてしまいます。

当医院では歯石や虫歯を取って、お口の健康を取り戻してからホワイトニングを始めていきます。 それをしないとかえって歯ぐきを痛めたり、知覚過敏を起こしてしまうのです。

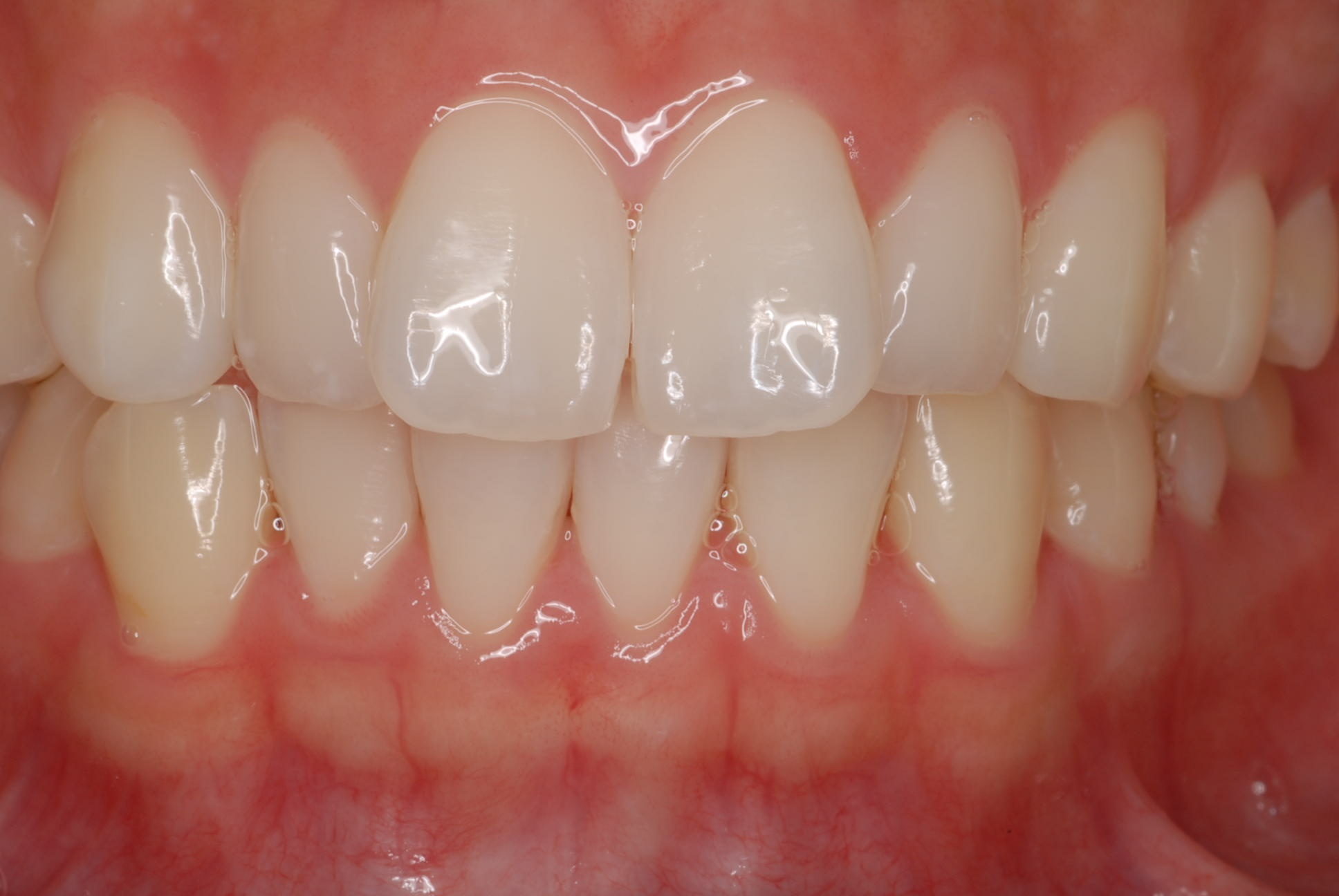
最初の状態

DSC_0009 15-26-39
 
光デンタルクリニックではホームホワイトニングをすすめています。
ホームホワイトニングの方がゆっくり白くなっていく分、知覚過敏を起こしにくいのです。

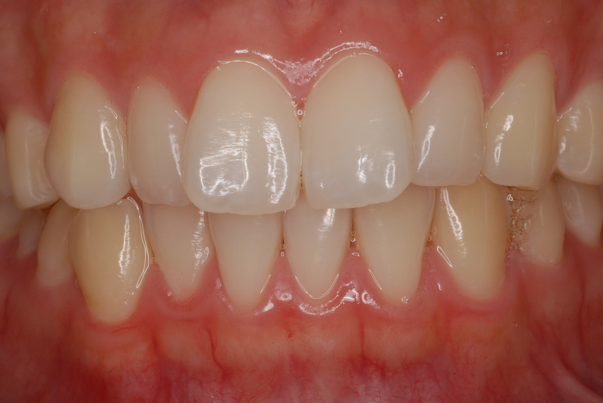
上の歯を2週間ホワイトニングした状態(下の歯はまだ1週間だけ) 

9
 
けっこう白くなっています(*・ω・)ノ 
特に犬歯の部分はかなり白くなっているなと感じました。

白くなるのも大事ですが、その前の段階で、歯石や虫歯を取り、健康な状態にするというのがホワイトニングでは1番大事だと思います。

DSC_0009 15-26-399










健康の上に成り立つ白さ…
それが真の美しさではないでしょうか…(*・ω・)ノ

みなさまもぜひホワイトニングをしてみてください(⌒-⌒)

コメントを残す

メールアドレスが公開されることはありません。 が付いている欄は必須項目です