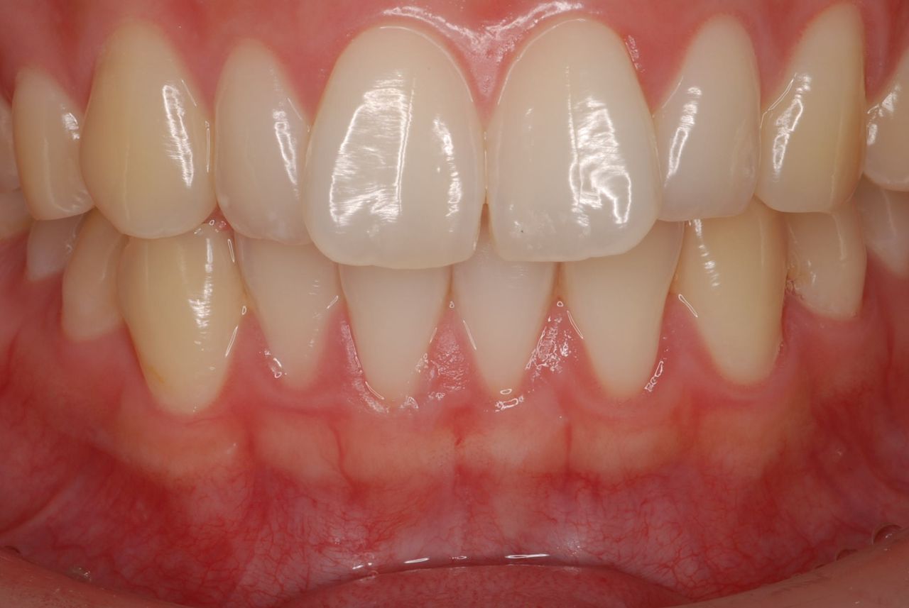
左右真ん中から2番目の歯にラミネートベニアをしました(*・ω・)ノ
少し内側に引っ込んでいるのが気になるということでした。
そして真ん中の歯が出ているように見えるのも気になるということで治療しました。
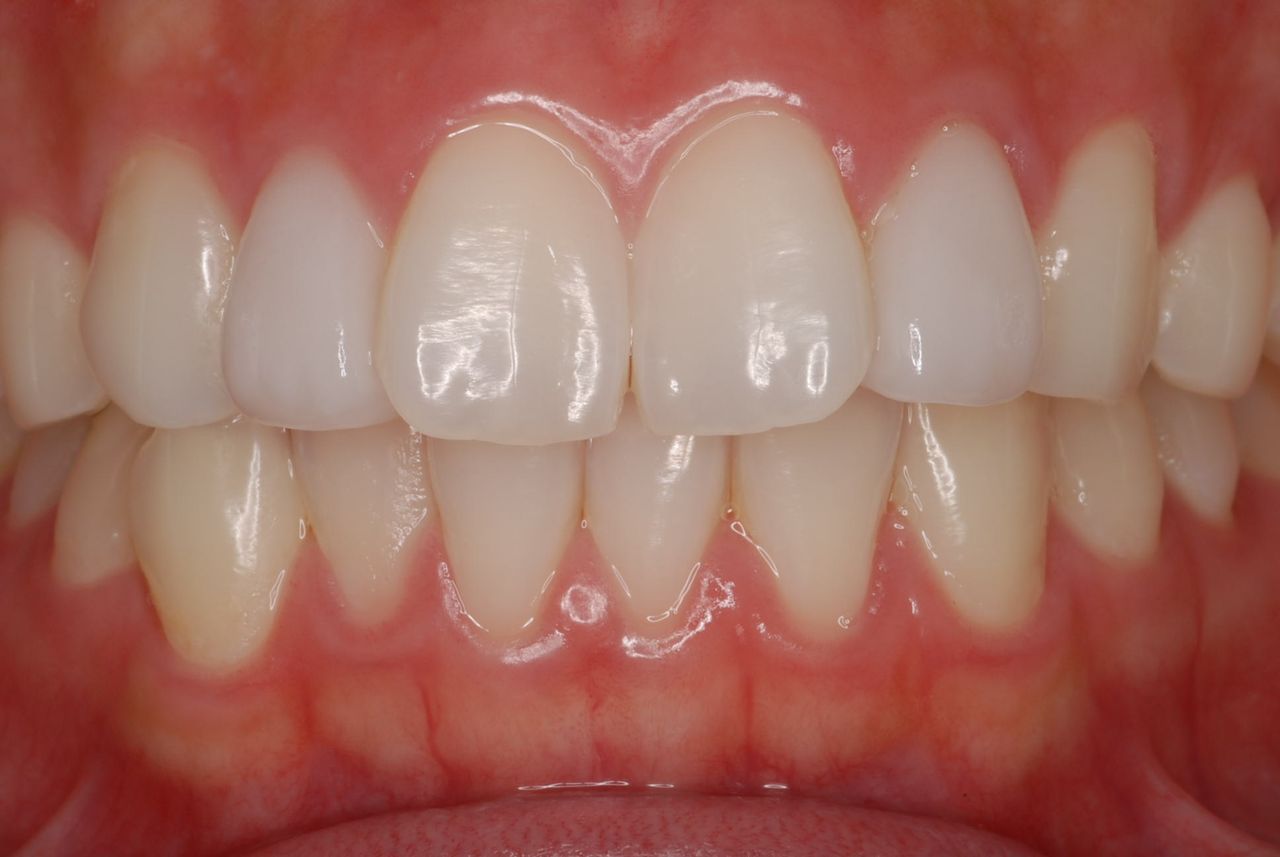
左右2番が少し前にでて引っ込んでいる感じがなくなり、
非常に満足していただけました.。゚+.(・∀・)゚+.゚
左右真ん中から2番目の歯にラミネートベニアをしました(*・ω・)ノ
少し内側に引っ込んでいるのが気になるということでした。
そして真ん中の歯が出ているように見えるのも気になるということで治療しました。
左右2番が少し前にでて引っ込んでいる感じがなくなり、
非常に満足していただけました.。゚+.(・∀・)゚+.゚