根管治療 4

近心根のお薬を外して、中をきれいに拡大、清掃、消毒をしていきます。

2

だいぶ根尖まで近づきました。

1根は根尖まで到達し(機械で計りました)

もう1根はもうちょっとで到達します。

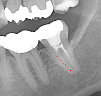
2根のところにリーマーを入れて、レントゲンを撮ったところです。

666

最初の時のレントゲンと比べてみるとわかりますが、近心根の赤い点線の部分が汚れていました。

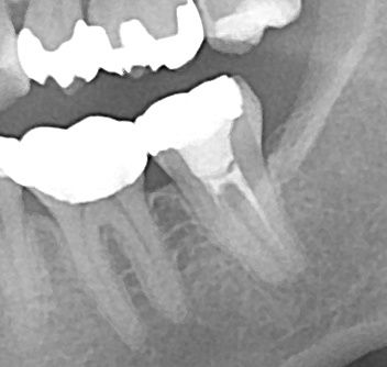
最初のレントゲン
ppprr661
ppprr661.JPG

今 現在 拡大 清掃中です

666

次回は遠心根もお薬があやしいので、はずしてきれいにしていきます。

根管治療 終了まで もう少し…

がんばるぞ(*・ω・)ノ

コメントを残す

メールアドレスが公開されることはありません。 が付いている欄は必須項目です