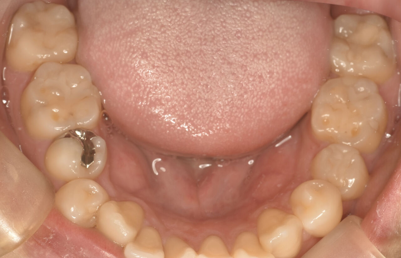
金属から白い詰め物へ
ナチュラルに詰められたかと思います。
自然な感じを再現。溝にステインで周囲の歯と一体感を持たせています。
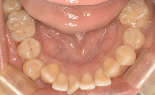
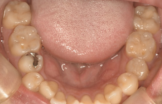
治療前
(画面左の金属)
治療後
治療は1回で終わりますし、象牙質への感染のリスクを避けられるし、歯を削る量を極力抑えられますし、いいこと尽くしです。
デメリットは何年かしてくると変色してきてしまうことでしょうか。
また硬すぎず、歯質と一緒に削れてくれるので
2次虫歯になりにくいところもメリットです。
金属から白い詰め物へ
ナチュラルに詰められたかと思います。
自然な感じを再現。溝にステインで周囲の歯と一体感を持たせています。
治療前
(画面左の金属)
治療後
治療は1回で終わりますし、象牙質への感染のリスクを避けられるし、歯を削る量を極力抑えられますし、いいこと尽くしです。
デメリットは何年かしてくると変色してきてしまうことでしょうか。
また硬すぎず、歯質と一緒に削れてくれるので
2次虫歯になりにくいところもメリットです。