検診に来ていただいた患者さん、痛みがなく腫れもなかったのですが、
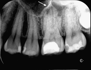
口蓋側にフィステルの様なニキビの様なものが見られたので、デンタルを撮影。
充填物がかなり歯髄に近く、(虫歯が残っているとかはないですが)
おそらく歯髄壊死を起こしてしまって根尖部に膿が溜まっていたもよう。
根尖部に透過像(黒い部分)が見られました。 (正常だと白い)
何回か根管治療をしました。
フィステルも消失し、痛みもなかったので治療は次のステップへ。
通常保険診療だと、クラウンといって歯の周りを全部削って、銀の被せを入れるのですが、
かなり歯質が残っていて、患者さんも削るのを嫌がったので、レジン治療へ。
ほとんどの歯質は残っており(特に機能咬頭)根管治療するための穴を塞いだくらいです。
井野先生ほど、小さく上手く開けれませんが、だいぶ歯質を残せました。
保険診療のルールなので仕方ないですが、自費治療だとこんなこともできます!😀
去年、井野先生にレジンを教わってよかった😀

