患者さんは他院からの紹介患者さん
40代 女性
急性の痛みがあり抜髄したようですが、今後の治療は当院でということで紹介していただきました。
(あくまで根管治療とのことで、最終的な被せ物は紹介先の先生にやっていただきます)
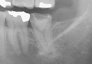
術前のレントゲン 赤丸の部分に病変が見られます。

仮封の状態 外してみると
中はそんなに汚れてはいなかったです。が、顕微鏡でよくみると
壊死した歯髄や汚れが‥
これは肉眼で全て取り除くのは難しいです。
また、手付かずの根管(未処置)がありました。
私も顕微鏡を使わないとわかりません。
未処置の根管など綺麗にしていったところ

次亜塩素酸で発泡しなくなったので、根充し土台をたて仮歯で様子を見ます。
経過観察後
治療前 治療後
なんとか骨ができてくれています。
あとは紹介元の先生に被せ物をしてもらい終了です。
他の先生に頼られると嬉しいものですね。
また、早めの段階で頼まれた方が治療もやりやすいですし、予後もいいですね!



