今回は虫歯の治療。
虫歯は象牙質まで進んでしまうと、広がるスピードに個人差があれど、広がっていってしまうので、基本的には虫歯を取った方がいいと思います。
(エナメル質にとどまっているものや、初期虫歯は削らない方針です)
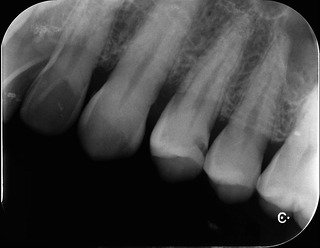
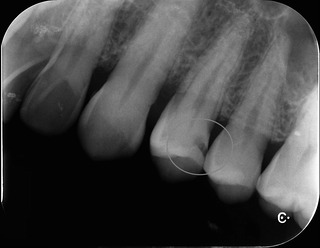
レントゲン
歯と歯の間に黒い病変が‥
自発痛 冷水痛などなし
削り始めたら、早速 虫歯で穴が広がっていた

虫歯を染める液で染め出して削る量を最小限に。
水色の部分が虫歯がまだ残っているところ

虫歯を全部とったところ レジンを詰め終わったところ
いつも同じことを言っていますが、レジン治療は、削った部分にダイレクトにレジンを詰めるので、
歯の削る量を最小限にできます。
長く持ってくれるといいですが、
その後の歯の持ちは、患者さん本人の食生活、噛みかた、歯ブラシの仕方(衛生状態)に左右されていきます。
長く持つといいですね!



