今回は20代女性。紹介患者さんです。
「咬むと痛い」ということで他院へ行きましたが‥
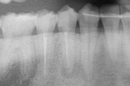
お口の中を拝見し、レントゲンを撮影。
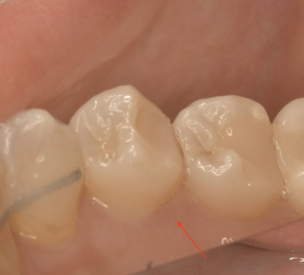
口腔内を見た状態 キレイにレジンが詰められていますね


上の写真は舌側(内側)からみたところ
レントゲン


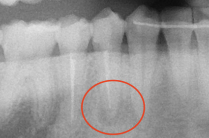
右下4番の根尖部に黒い透過像がありますね。(赤丸で囲ったところ)
聞くと、10数年前に治療したとのこと。
5番と同じく根尖までキレイに根充材は入っていますが‥
おそらく同じような時期に治療されたのかな?と思います。
通常、根管治療した歯はクラウンにするのが通法ですが。
まだ年齢的に若いし、歯質が残っていたからでしょうね。グッジョブです。
私も根管治療を終えた後、クラウン(全周歯を削って被せる)にしたくないので、上から削ることに。
(出来るだけ歯を削りたくないので、歯質を保存したい場合こういう風に治療することもあります)
上から削っているところ なかなか根管口が見つからないので、レントゲンで位置を確認。


もうちょいだ。
方向は間違えていないので、追随。
ガッタパーチャ(前医が入れた根の中に入っているお薬)が見えてきました。
(まだ先の難関はあるが、ここまでくるとちょっとホッとします)

GP(ガッタパーチャ)をほぼ外し、根管の中をケミカルで洗浄していきます。
が、思ったより綺麗。でもなぜ根尖部に感染による透過像があるのか(レントゲンの黒いやつね)
もしや‥もう一つ根管があるのかも?!
と思い、狭い歯の中を拡大していくと‥
やはりありました。もう一つの根管。
1根じゃなく2根管だったのね。
これで透過像の謎が解けました。
赤丸が2根管目。

よ〜く洗浄して根充。
治療する時は全てマイクロスコープを使用しています。その方が今回のように根管が隠れているのも見つけやすいですし、虫歯の取り残しもなくなりますし、精度の高い治療が行えます。
こちらは根充後のレントゲン。

次回は築造、レジンでおしまいです。(その後は経過観察ですね)
心なしか初診時の写真の時より、透過像が小さくなっているような気がします。
痛み、なくなるといいですね。