40代男性 紹介患者さん
食事すると奥歯が痛い。揺れている。噛めない。
という主訴。
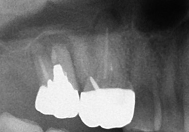
レントゲンを撮ってみると‥
(ちなみに6年前)


こちらはデンタルX線写真

赤丸の部分。根尖病巣によって黒くなっており、骨が溶けていて炎症が見られます。
揺れているのは一番奥でしたが。
両方根管治療した方が良さそうですね。
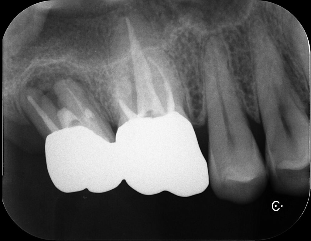
7番(一番左)にぶっといコアが‥😅
(外すの大変なんだが‥)
クラウンを除去、何回か根管を洗浄し様子を見ます。
洗浄している最中の写真
(コア外すの大変だった‥)
右側の写真は6番根管充填後。GP使用。


その後7番(一番左)も根充し、クラウンSET。
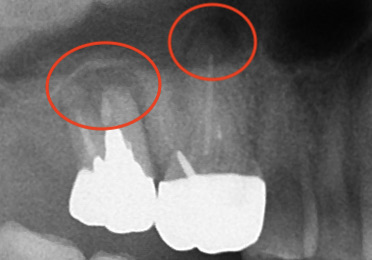
2年後

6年後

6年後はだいぶ根尖部にも骨ができてくれています。
7番の根分岐部(奥歯は根っこが複数あり、その股の部分)の
黒い部分は歯周病による骨の吸収なので仕方ありません。
ただし、痛みなどは全くなく噛めるそうです。
(よかった😅)
最初見た時はもう抜歯かなと思いましたが。


あとは頑張って歯磨きをしてもらい、(硬いものは出来るだけ避けてもらい)
メインテナンスしていきます。